Mitigating Risk Through Selective Tooth Removal
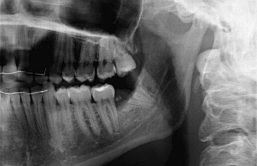
In certain cases, the roots of the lower wisdom teeth are positioned dangerously close to, or even wrapped around the inferior alveolar nerve, which provides sensation to the chin and lower lip. A standard extraction in this scenario poses a significant risk of nerve damage.
A coronectomy offers a safer surgical path by removing only the enamel portion (the crown) of the tooth that is causing decay or gum irritation. By leaving the healthy roots untouched within the jawbone, we eliminate the need to disrupt the sensitive nerve pathways nearby. Over time, the remaining root fragments typically become encased in bone or may even migrate slightly upward, away from the nerve, without causing further oral health issues.

Navigating Your Surgical Care at Murphy Dental Center
At our Murphy, NC office, the decision to perform a coronectomy, which allows Dr. Bulsara to map the exact relationship between your tooth roots and the mandibular nerve. If a high-risk proximity is detected, we utilize precise surgical techniques to section and remove the crown while ensuring the remaining root structure is vital and free of infection.
We then carefully smooth the root surface and close the site to promote rapid gum healing. Our team focuses on a gentle, conservative approach that prioritizes your neurological safety, providing a sophisticated solution for complex third-molar issues while ensuring your post-operative comfort and recovery remain our top priorities.